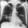
Након три године могу да кажем да рак данас није више смртоносна болест, она све више постаје хронична с којом пацијенти могу квалитетно живети, пише др Влада Комадина у рубрици „Глас пацијента“
Након три године могу да кажем да рак данас није више смртоносна болест, она све више постаје хронична с којом пацијенти могу квалитетно живети, пише др Влада Комадина у рубрици „Глас пацијента“